重庆耳鼻喉专科医院_重庆耳鼻喉哪家好_仁品医院

慢性中耳炎反复化脓久治不愈怎么办?

重庆仁品医院2019-09-29

预约挂号 拨打电话 咨询医生
  慢性中耳炎久拖不治危害大,因此大家一定要重视中耳炎的治疗,发现中耳炎的症状要及时到正规医院检查治疗,避免因治疗不及时加重病情,中耳炎越早治疗越好。
 
  患者为30岁的女性,1个月前无诱因出现左耳反复流脓,为黄色脓性液体,有臭味,于当地医院行抗炎及对症治疗后,流脓症状虽然有所缓解,但是一直没有根治。
 
  患者为求进一步诊断与治疗因为转入我院。专科查体可见左侧耳道内无分泌物,于鼓膜松弛部见一红色肉芽组织。
 
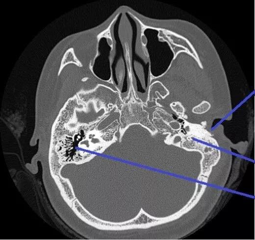
  为了进一步明确病灶,我们做了CT检查,结果是这样的
 
  CT检查可见左侧乳突气房密度增高,粘膜增厚,中耳鼓室内密度增高,粘膜增厚,左侧鼓膜增厚,听小骨结构大致正常,未见骨质破坏,考虑左侧慢性中耳炎。
 

 
  保守治疗无效,只能手术治疗,彻底去除病灶。
 
  考虑到患者临床诊断明确,术中需彻底去除增生肉芽组织,并探查听骨链。决定在全麻下行左耳鼓室探查术。
 
  术中取耳道内切口于外耳道上壁软骨与骨部交界处向上切至耳屏软骨后方向上延伸1CM。上乳突拉钩,暴露外耳道。见外耳道内靠近鼓膜松弛部,可见粉红色肉芽增生,麦粒钳清除后见肉芽后,见鼓膜松弛部穿孔。外耳道后壁局部骨质破坏,皮肤环形缺损,上鼓室盾板部分骨质破坏。
 

  
  中下鼓室内可见粘液性分泌物,锤骨柄内侧可见肉芽组织
 
  锤砧关节暴露。用刮匙刮除部分外耳道后上壁骨质(11点至9点之间),暴露砧镫关节。清除上鼓室听骨链周围病变(炎性肉芽),沿鼓沟将鼓环及残余鼓膜紧张部从后向前掀开鼓膜,暴露中鼓室及下鼓室。中下鼓室内可见粘液性分泌物,锤骨柄内侧可见肉芽组织,清除病变。内置法修补鼓膜,鼓室内填充明胶海绵支撑。
 
  术中内置法修补鼓膜示意图
 
  复位鼓膜瓣,检查移植物与鼓膜瓣重叠良好。表面放置明胶海绵,外耳道碘纺纱条填塞,缝合耳道口切口4针。耳部加压包扎。
 
  患者术后一周复查,恢复良好,久治不愈的中耳炎终于治愈了
 
  慢性中耳炎临床上常常分为以下几型
 
  ①单纯型:最常见,多由于反复发作的上呼吸道感染时,致病菌经咽鼓管侵入鼓室所致。临床特点为;耳流脓,多为间歇性,呈黏液性或黏液脓性,一般不臭。量多少不等,上呼吸道感染时,脓量增多。鼓膜穿孔多为紧张部中央性,大小不一,但穿孔周围均有残余鼓膜。鼓室黏膜粉红色或苍白,可轻度增厚。耳聋为传导性,一般不重。
 
  ②骨疡型:又称坏死型或肉芽型,多由急性坏死型中耳炎迁延而来。此型特点:耳流脓多为持续性,脓性间有血丝,常有臭味。鼓膜紧张部大穿孔可累及鼓环或边缘性穿孔。鼓室内有肉芽或息肉,并可经穿孔突于外耳道。传导性聋较重。
 
  ③胆脂瘤型:胆脂瘤非真性肿瘤,而为一位于中耳、乳突腔内的囊性结构。由于囊内含有胆固醇结晶,故称胆脂瘤。
 
  准确的判断慢性中耳炎的临床分型,对于后续的治疗能有更多目的性。
 
  慢性中耳炎久治不愈,有可能导致这些并发症:
 
  ①面瘫,损伤面神经就会引起口眼歪斜。
 
  ②迷路炎,可导致眩晕和恶心、呕吐等。
 
  ③颅内并发症则包括脑膜炎、脑膜外脓肿及脑脓肿。可有生命危险。
 
  ④脓肿如果处理不及时,脓肿向颈部扩散,引起颈部转动时疼痛,严重时会有破坏颈部大血管,导致死亡。
 
  因此慢性中耳炎久治不愈,保守治疗无效,可以考虑手术治疗,以免耽误治疗,导致严重并发症!
 
  仁品耳鼻喉专科医院作为耳鼻喉连锁品牌,始终将患者和品质放在优先位置,不仅拥有经验丰富的国内医生团队,在更是引进大量国内外先进设备,如德国WOLF内窥镜、荷兰飞利浦双层螺旋CT、日本奥林巴斯电子喉镜、多导睡眠监测系统、德国蔡司手术显微镜等,将国内耳鼻喉诊疗又上升到新的高度。
 
  惟专则信,惟专能强。重庆仁品耳鼻喉专科医院自建院以来,一直重视与国外接轨,积极引进关于耳鼻喉疾病诊断与治疗的理念、技术与方法,不断创新,现已申请国家专利,开展新技术、新项目、新疗法,国家进步奖等83项。咨询电话:023-63539999
 
  
在线咨询 立即预约
立仁济世  树品润民

立仁济世 树品润民

您的健康是我们最大的追求

CHONGQING RENPIN E.N.T HOSPITAL

来院路线

重庆市渝中区经纬大道772号

来院路线

咨询热线

023-63539999

营业时间:8:00—17:30

返回顶部
预约挂号 拨打电话 咨询医生