1月26日,张先生接受了甲状腺左侧腺叶、甲状腺包块和峡部切除...
1月28日晚,渝中区卫生健康系统首届迎春文艺汇演盛大举行,全...
1月5日上午,主刀医生马玉龙,从黄先生鼻内取出鼻息肉那一刻...
人民网重庆1月8日电12月11日早上,家住梁平,今年53岁的蒋先生...
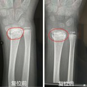
人民网重庆1月8日电 本来以为复位后就好了,没想到过了一段时...
CHONGQING RENPIN E.N.T HOSPITAL
医院地址:重庆市渝中区经纬大道772号
渝ICP备16011924号-5
Copyright © 2019-2020 重庆仁品医院